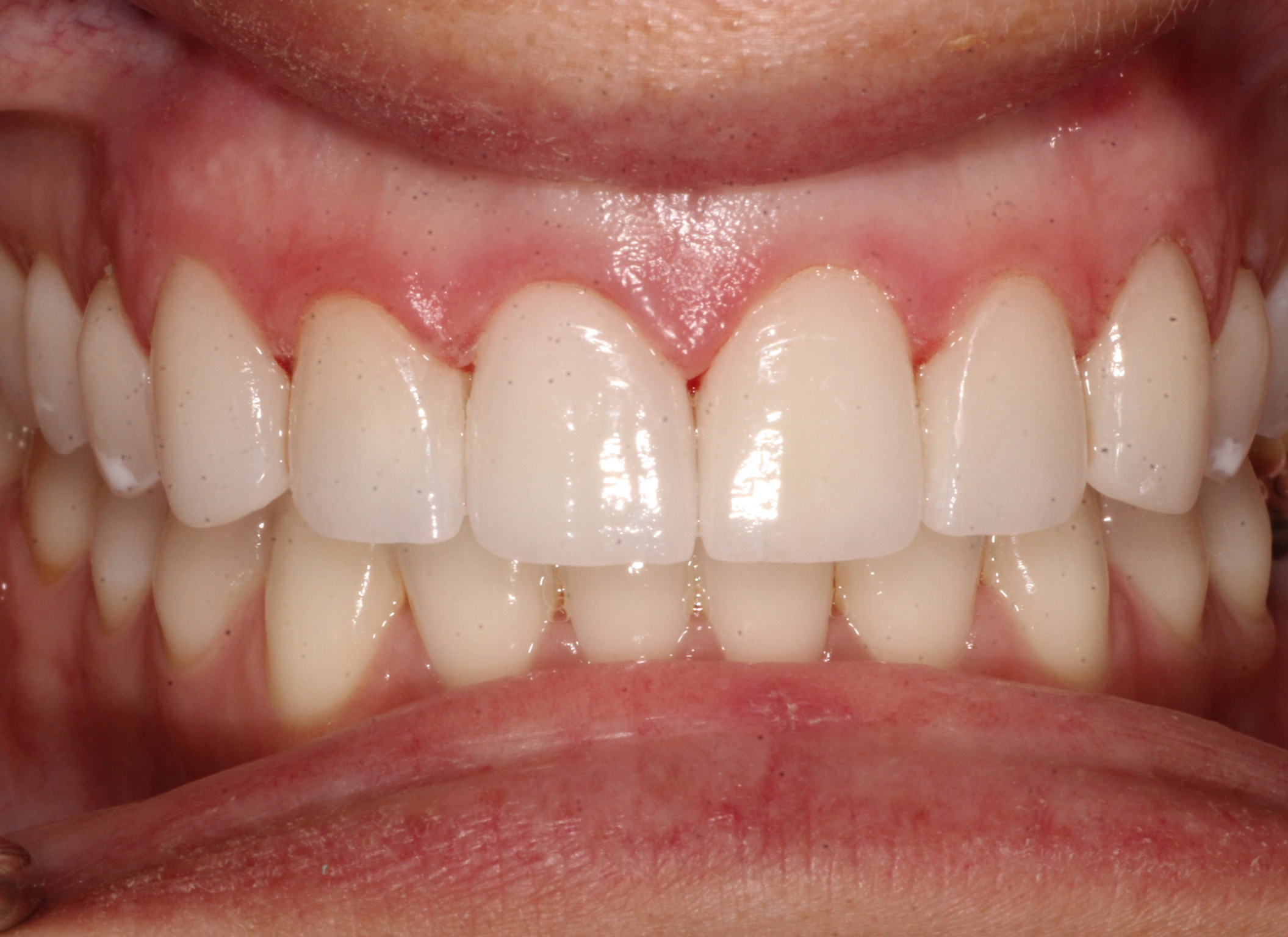
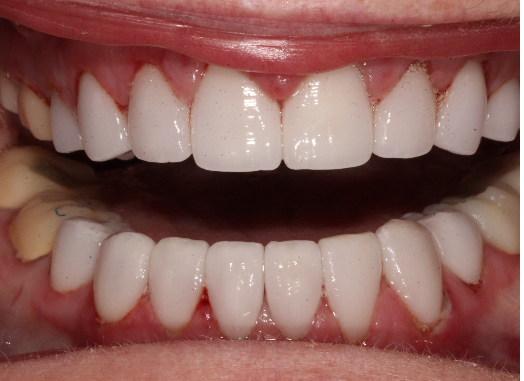
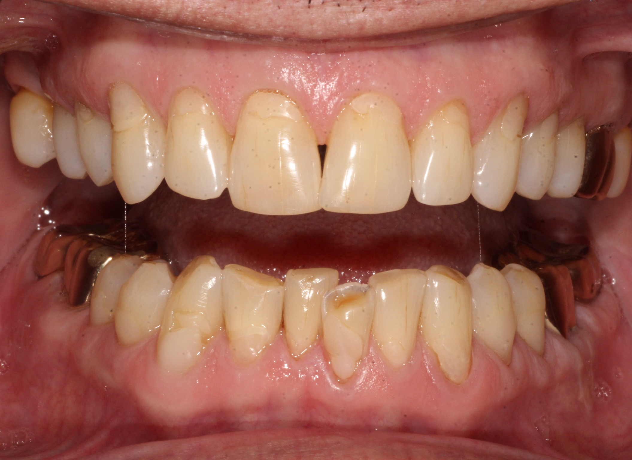
Smile Transformations
See the difference expert care can make. Our before and after photos showcase real smile transformations from patients who trusted Dr. Patty with their dental and cosmetic needs. From subtle enhancements to complete smile makeovers, we’re proud to help our patients achieve the confidence they deserve.
Explore the results for yourself!




















































